목차
최근 마이코플라즈마 폐렴 환자가 폭증하면서, 관련주 수혜주에 대한 시장의 관심이 높아지고 있습니다. 국내 마이코플라즈마 관련주 수혜주 Best 3에 대해서 알아보고, 향후 시장전망 및 주식 투자전략까지 다양한 측면에서 분석하도록 하겠습니다.

마이코플라즈마 관련주 수혜주 Best 3
최근 의료계에서 주목받고 있는 질환 중 하나가 마이코플라즈마 폐렴입니다. 이는 전염성이 강한 폐렴의 일종으로, 특히 어린이와 노약자, 면역력이 약한 사람들 사이에서 확산되며 관심이 집중되고 있습니다.
이런 전염병의 확산은 제약·바이오 주식 시장에 큰 영향을 미치기 때문에 투자자들이 마이코플라즈마 폐렴과 관련된 주식을 주목하게 됩니다. 특히, 전 세계적인 팬데믹 이후, 질병과 관련된 치료제나 진단 키트를 생산하는 기업들이 주목받으면서 한국 주식 시장에서도 마이코플라즈마 폐렴 관련주에 대한 관심이 커지고 있습니다.
○ 국제약품

▶ 의약품 생산 전문업체, 항생제, 소화기용제, 비타민 등

↓ 국제약품 IR자료 바로보기 ↓
○ 멕아이씨에스

▶ 인공호흡기, 양압기, 고유량산소요법, 호흡 / 인공호흡기 제품, OmmiOx제품, 환자감시장치, 펄스옥시미터 등

↓ 멕아이씨에스 IR자료 바로보기 ↓
○ 수젠텍

▶ Bio/Nano, Lab Test, Point of Care Test
▶ 융합기술 기반 체외진단 글로벌 선도 기업, 다중면역블롯, 현장진단, 퍼스널케어

↓ 수젠텍 IR자료 바로보기 ↓
마이코플라즈마 관련주 시장전망 및 주식 투자전략
1. 마이코플라즈마 폐렴 시장 현황
마이코플라즈마 폐렴은 바이러스와는 달리 세균성 질환으로 항생제 치료가 가능합니다. 그러나 증상이 서서히 진행되고, 감염의 확산 속도가 빠르기 때문에 진단 및 치료 과정에서 의료 관련 기업들이 적극적으로 나설 필요가 있습니다.


최근 몇 년간 전 세계적으로 폐렴을 포함한 호흡기 질환의 발생 빈도가 증가하면서, 이러한 질환에 대한 진단 기술과 치료제 개발은 중요한 테마로 자리 잡았습니다.
특히, 한국을 비롯한 여러 나라에서 마이코플라즈마 폐렴의 발생 사례가 증가하고 있으며, 이는 제약·바이오 업계의 성장과 더불어 **의료 서비스 및 장비 관련주**에도 긍정적인 영향을 미칠 가능성이 큽니다.
- 진단 키트
빠른 진단이 가능한 키트는 의료기관과 개인 진단에서 모두 중요합니다. 마이코플라즈마 폐렴이 급속히 퍼질 때, 신속한 진단이 가능하면 전염 속도를 억제하는 데 큰 역할을 할 수 있기 때문에, 관련 진단 키트를 개발하고 있는 기업들이 시장에서 주목받을 가능성이 큽니다.
- 치료제 개발
치료제 개발은 제약 기업들이 가장 중점적으로 다루는 부분입니다. 마이코플라즈마 폐렴과 같은 질환은 항생제 치료가 가능하기 때문에, 이와 관련된 제약사들의 연구 개발(R&D) 성과는 투자자들에게 큰 매력 요소로 다가올 수 있습니다.
- 백신 개발 가능성
현재까지는 마이코플라즈마 폐렴에 대한 예방 백신이 상용화되지 않았으나, 글로벌 제약사들이 백신 개발에 뛰어들 경우 시장의 관심이 더욱 커질 수 있습니다. 이에 따라 관련 연구 및 임상시험 결과에 따라 주가 변동성이 커질 수 있습니다.
2. 글로벌 및 국내 시장 전망
마이코플라즈마 폐렴 관련 시장은 지속적으로 성장할 것으로 예상됩니다. 특히, 코로나19 이후 호흡기 질환에 대한 경각심이 커지면서 이러한 질환에 대한 빠른 진단과 치료가 더욱 중요해졌습니다. 마이코플라즈마 폐렴은 계절적 요인과도 연관이 깊어, 특히 겨울철이나 환절기마다 관련 주식들의 주가가 변동할 가능성이 큽니다.


2.1. 글로벌 시장
전 세계적으로 마이코플라즈마 폐렴과 같은 감염성 질환에 대한 관심이 높아지면서, 글로벌 제약사들은 치료제와 진단 키트 개발에 막대한 투자를 하고 있습니다. 특히, 북미와 유럽 등 선진국에서는 마이코플라즈마 폐렴 진단 및 치료 시장이 급성장하고 있으며, 아시아 시장도 이에 발맞춰 빠르게 확대되고 있습니다.
2.2. 국내 시장
한국에서는 의료 시스템이 발달해 있고, 정부의 보건 정책이 적극적이기 때문에 관련 산업의 성장이 두드러질 수 있습니다. 국내 제약사들과 바이오 기업들은 글로벌 수준의 기술력을 바탕으로 마이코플라즈마 폐렴과 같은 질병 치료에 대한 연구개발을 진행하고 있으며, 진단 키트와 치료제의 상업화 가능성도 높습니다.
3. 마이코플라즈마 폐렴 관련 주식 투자 전략
마이코플라즈마 폐렴 관련 주식은 주로 제약·바이오 섹터에 속한 기업들이 주를 이루며, 이들은 진단 키트, 치료제 개발, 백신 연구 등을 통해 수익성을 높일 수 있습니다. 이를 바탕으로 투자자들은 다음과 같은 전략을 고려할 수 있습니다.


3.1. 장기 투자 전략
제약·바이오 주식은 기술력과 연구개발에 대한 투자가 필수적입니다. 따라서 장기적인 성장 가능성을 보고 투자를 결정하는 것이 중요합니다. 특히 마이코플라즈마 폐렴과 같은 감염성 질환 관련 기업들은 임상시험 결과나 신제품 출시에 따라 주가가 급등할 수 있습니다. 이런 장기적인 성과를 기대할 수 있는 기업에 투자하는 것이 효과적입니다.
- R&D 집중 기업
신약 개발과 임상 시험에 많은 자금을 투입하는 기업들은 단기적으로는 성과가 불확실할 수 있지만, 성공적인 결과를 내놓을 경우 높은 수익을 기대할 수 있습니다.
3.2. 단기 투자 전략
단기 투자자는 뉴스 흐름과 시장 트렌드에 주목할 필요가 있습니다. 마이코플라즈마 폐렴 확산 뉴스나 계절적인 요인으로 인해 호흡기 질환이 증가하는 시기에는 관련 주식들의 주가가 급등할 수 있습니다. 이런 단기적인 주가 상승을 노린다면, 시장 상황을 면밀히 살피고 시기적 절정을 노려 투자하는 것이 중요합니다.
- 진단 키트 기업
질병의 확산 속도와 더불어 진단 기술이 얼마나 빠르게 확산되는지가 단기적인 주가 상승의 주요 요소가 될 수 있습니다. 진단 속도와 정확성에 대한 뉴스에 반응하는 주식들은 단기적으로 높은 변동성을 보일 수 있습니다.
3.3. 분산 투자 전략
제약·바이오 섹터는 높은 변동성을 보이는 만큼, 리스크를 줄이기 위해 포트폴리오 분산 투자를 고려할 수 있습니다. 마이코플라즈마 폐렴 관련주뿐만 아니라, 다른 감염병 치료제 관련 주식이나 진단 기술을 보유한 기업들에 동시에 투자하여 위험을 줄일 수 있습니다. 또한, 헬스케어와 바이오테크와 같은 관련 산업에 대한 분산 투자도 고려해야 합니다.
4. 리스크 요인
마이코플라즈마 폐렴 관련주에 투자할 때 주의해야 할 몇 가지 리스크 요인이 있습니다. 특히, 임상시험 실패나 정부 규제 강화**는 주가에 큰 영향을 미칠 수 있습니다.


4.1. 임상시험 리스크
제약·바이오 기업들은 신약 개발 과정에서 많은 자원을 투입하지만, 임상시험의 성공 여부에 따라 수익성이 달라집니다. 임상시험이 실패할 경우 주가가 급락할 수 있기 때문에 투자자는 기업의 연구개발 성과를 면밀히 살펴봐야 합니다.
4.2. 정부 규제
각국 정부는 의료 제품의 안정성과 효과성을 확인하기 위해 엄격한 규제를 시행합니다. 한국 역시 의료기기나 의약품의 허가 절차가 까다로워, 규제 리스크를 무시할 수 없습니다. 특히, 백신 개발과 같은 대규모 프로젝트는 정부의 승인 여부가 주가에 중요한 역할을 합니다.
4.3. 시장 경쟁
마이코플라즈마 폐렴과 같은 질병을 치료하기 위한 제품은 많은 기업들이 경쟁하는 시장입니다. 따라서 경쟁 기업들의 신약 개발 속도나 진단 기술의 성능에 따라 주가가 변동할 수 있으며, 특정 기업의 시장 점유율이 떨어질 경우 주가에 부정적인 영향을 미칠 수 있습니다.
마이코플라즈마 관련주 투자 포인트
마이코플라즈마 폐렴 관련주는 제약·바이오산업에서 중요한 투자 기회로 여겨지고 있습니다.
진단 기술과 치료제 개발을 선도하는 기업들은 장기적인 성장 가능성을 보여주고 있으며, 이러한 섹터는 계절적 요인이나 전염병의 확산에 따라 단기적인 주가 상승을 기대할 수도 있습니다.
그러나, 제약·바이오 주식은 변동성이 높고 리스크 요인도 존재하기 때문에, 투자자들은 관련 뉴스와 임상시험 결과, 정부 규제 등을 면밀히 모니터링해야 합니다.
성공적인 투자 전략을 위해서는 장기적인 성장 가능성을 가진 기업에 집중하고, 시장성장 동향을 지속적으로 관찰하며 시기적 적절한 투자 결정을 내리는 것이 중요합니다.


특히, 마이코플라즈마 폐렴 관련 기업들은 연구개발 성과에 따라 주가가 큰 폭으로 변동할 수 있으므로, 분산 투자와 적극적인 리스크 관리를 통해 투자 안정성을 확보하는 것이 필수적입니다.
5. 마이코플라즈마 폐렴 관련주의 향후 전망
마이코플라즈마 폐렴은 이미 많은 나라에서 발생 빈도가 높아지고 있는 질환이며, 그로 인한 글로벌 제약 시장의 성장은 당분간 지속될 것으로 보입니다. 특히, 팬데믹 이후 의료계 전반의 인프라가 강화되고, 호흡기 질환에 대한 인식과 대응책이 확대되면서 이와 관련된 기업들의 장기적인 성장 가능성이 더욱 높아지고 있습니다.
5.1. 기술 혁신
기존의 치료법 외에도 다양한 신기술과 혁신적인 치료 방법이 개발되고 있습니다. 특히 AI와 빅데이터를 활용한 질병 진단 및 예측 기술은 관련 기업들의 경쟁력을 높이는 중요한 요인으로 작용할 수 있습니다. 이런 혁신적인 기술을 도입하는 기업들은 장기적인 성장 가능성이 매우 높습니다.
5.2. 국내외 협력
글로벌 제약사들과의 협력 및 공동 연구가 활발해지면서 국내 기업들의 기술력과 생산성이 향상될 가능성이 있습니다. 또한, 국내 의료 관련 기업들이 해외 시장으로 진출하는 경우에도 마이코플라즈마 폐렴과 같은 호흡기 질환 치료제 수요가 급증할 수 있습니다.
5.3. 질병 관리 정책
각국 정부의 질병 관리 정책과 백신 개발 지원 정책은 관련 기업들의 수익성에 긍정적인 영향을 미칠 것입니다. 특히, 팬데믹 이후 각국 정부는 예방과 진단에 중점을 두고 있기 때문에, 관련 주식들은 긍정적인 전망을 유지할 수 있습니다.
5.4. 계절적 요인
마이코플라즈마 폐렴은 계절적 유행성이 강한 질병으로, 특히 환절기와 겨울철에 관련 주식들이 주목받을 가능성이 큽니다. 이를 고려해 투자자들은 계절적 변동성을 반영한 투자 전략을 수립할 수 있습니다.
6. 투자자들을 위한 권장 투자 전략
마이코플라즈마 폐렴 관련주들은 제약·바이오 산업 특성상 높은 성장 가능성과 높은 변동성을 동시에 가지고 있습니다. 따라서 투자자들은 다음과 같은 전략을 활용해 투자 리스크를 최소화하면서 수익을 극대화할 수 있습니다.
6.1. 뉴스 모니터링
관련 주식들은 질병 발생 소식이나 임상시험 결과 등 외부 요인에 민감하게 반응합니다. 따라서 투자자들은 의료 뉴스와 글로벌 동향**을 지속적으로 모니터링하여 적시에 대응하는 것이 중요합니다.
6.2. 중장기 투자 전략
마이코플라즈마 폐렴 치료제나 진단 기술을 개발하는 기업들은 지속적인 연구개발을 통해 장기적인 성장을 이룰 가능성이 높습니다. 따라서 단기적인 주가 변동에 휘둘리기보다는 중장기적인 성장 잠재력을 보고 투자하는 것이 효과적일 수 있습니다.
6.3. 리스크 관리
제약·바이오 주식은 임상시험 실패나 규제 변화에 따른 리스크가 큽니다. 투자자들은 이러한 리스크를 분산 투자나 선진국의 규제 동향을 주의 깊게 살피며 관리할 필요가 있습니다. 또한, 특정 기업의 기술력만을 믿고 집중 투자하는 대신, 관련 시장 전체에 걸쳐 다양한 기업에 투자하여 위험을 분산하는 것이 좋습니다.
6.4. 회사의 재무 상태와 성장 가능성 분석
투자자들은 각 기업의 재무 상태와 R&D 투자 현황을 철저히 분석해야 합니다. 연구개발에 많은 자금을 투자하는 기업일수록 임상 시험 성공 시 큰 성과를 낼 수 있지만, 재무적으로 취약할 경우 임상 실패 시 큰 손실을 볼 수도 있습니다.
따라서 재무 안정성이 높은 기업을 선택하는 것이 안전한 투자 방법입니다.
6.5. 글로벌 시장 진출 여부
국내 기업들이 글로벌 제약 시장에 성공적으로 진출할 수 있는지 여부도 중요한 투자 요소입니다. 특히, 호흡기 질환에 대한 수요가 높은 국가와의 협력 가능성이나 해외 시장 확대 전략을 가진 기업들은 장기적인 성장이 기대됩니다.
마이코플라즈마 폐렴 관련주는 제약·바이오 섹터에서 중요한 투자 기회로 주목받고 있습니다.
특히 전 세계적인 팬데믹 이후 의료 및 제약 시장이 크게 성장하면서, 진단 기술과 치료제 개발에 뛰어난 역량을 보유한 기업들은 높은 성장 가능성을 가지고 있습니다.
마이코플라즈마 폐렴과 같은 호흡기 질환은 계절적 유행성이 강하고 전염성이 높아 관련 기업들의 주가는 단기적인 뉴스 흐름에 크게 반응할 수 있으며, 중장기적으로는 R&D 성과에 따라 수익성이 결정될 것입니다.
따라서, 투자자들은 이러한 변동성을 고려해 장기적인 관점에서 시장을 분석하고, 분산 투자 전략을 통해 리스크를 최소화하는 것이 중요합니다. 또한, 관련 뉴스와 기업의 기술 발전 상황을 지속적으로 모니터링하며 적절한 시점에 투자 결정을 내리는 것이 성공적인 투자로 이어질 가능성이 높습니다.
마이코플라즈마 폐렴 관련 기업들의 장기적인 성장 가능성과 함께 제약·바이오산업에 대한 관심은 앞으로도 지속될 것이며, 이에 따라 관련 주식들은 꾸준히 시장의 주목을 받을 것으로 예상됩니다.
금융주 금융 관련주 대표주식 Best 3ㅣ금융주의 시간이 온다
미국의 은행주들의 주가가 상승흐름을 보이면서, 국내 금융주 금융 관련주의 주가도 상승 흐름을 보이고 있습니다. 연말로 갈수록 실적과 배당 등에 대한 장점이 부각될 것으로 보이는, 국내 금
economic.lifeinplanet.com
비만 관련주 수혜주 대표주식 Best 3ㅣ비만약 위고비 한국 상륙
비만 치료제인 '위고비가 한국에 출시'되며, 비만 관련주에 대한 시장의 관심이 뜨겁습니다. 국내 대표 비만 관련주 수혜주 대표주식 Best 3에 대해서 알아보고, 향후 시장전망 및 주식 투자전략
economic.lifeinplanet.com
K웹툰 관련주 수혜주 주식투자 Best 3ㅣ네이버웹툰 라인망가 앱마켓 매출1위
네이버웹툰의 라인망가가 9월 앱마켓 매출 1위를 탈환했다는 뉴스가 보도되면서, 한 동안 주춤했던 웹툰 관련주에 대한 시장의 관심이 예상되고 있습니다. 국내 K웹툰 관련주 수혜주 Best 3에 대
economic.lifeinplanet.com
https://n.news.naver.com/mnews/article/011/0004404551?sid=103
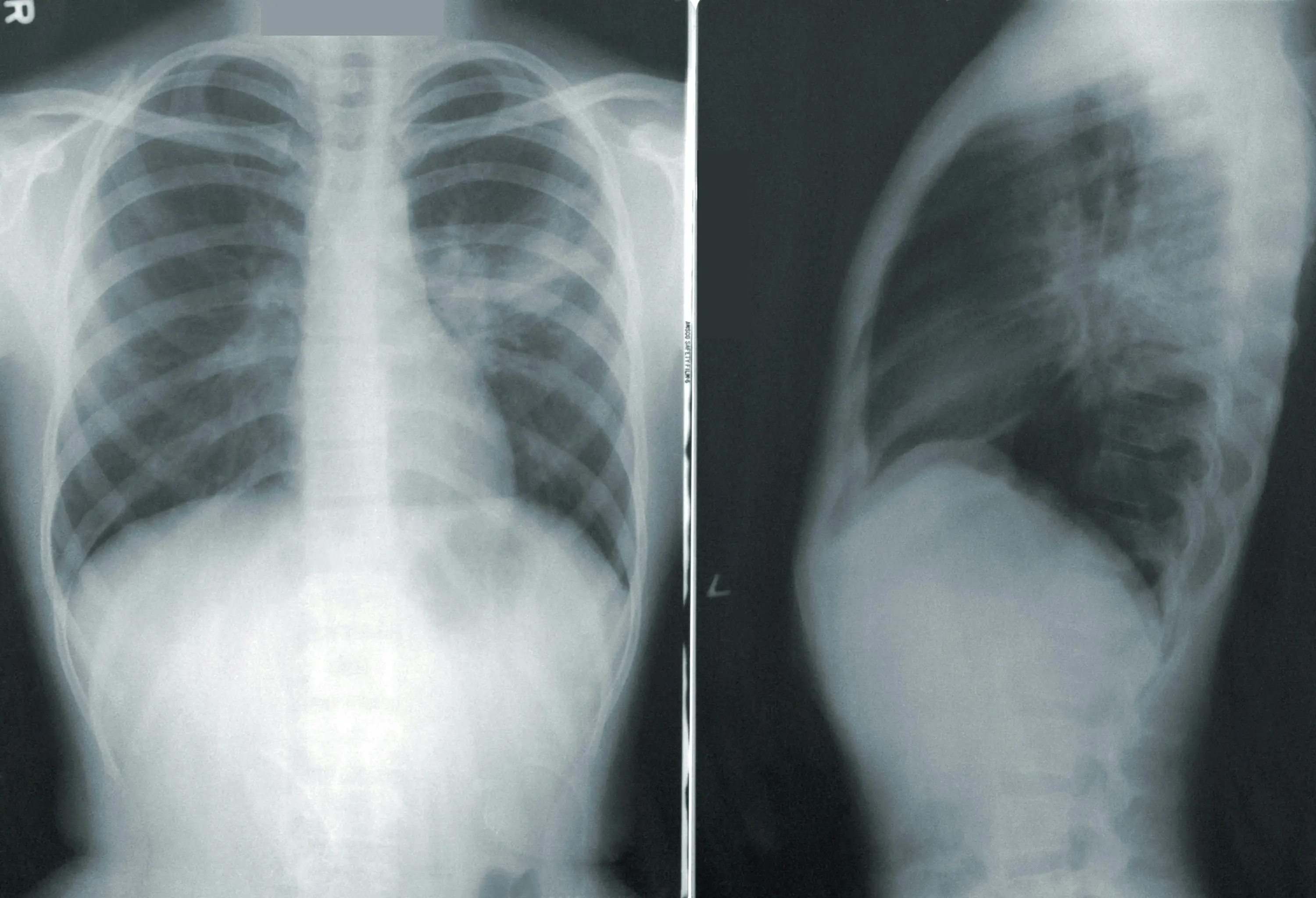
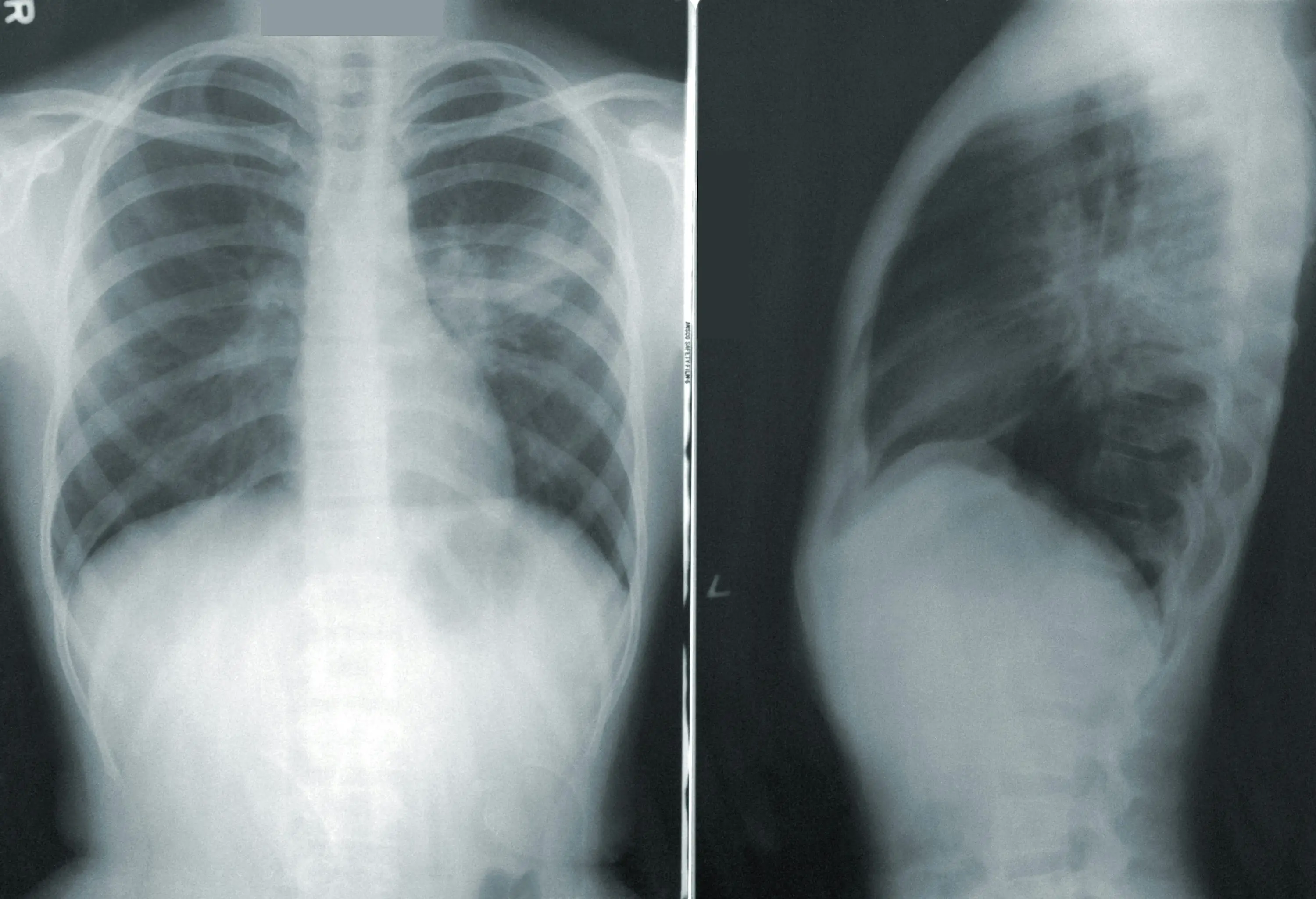
'콜록콜록' 기침, 감기도 코로나도 아니었다…마이코플라즈마 폐렴 환자 '폭증'
마이코플라즈마 폐렴이 올해 크게 유행하고 있는 것으로 나타났다. 치료가 늦어지면 중증 폐렴으로 진행할 수 있어 주의가 필요하다는 지적이 나온다. 19일 질병관리청 자료에 따르면 2024년 마
n.news.naver.com
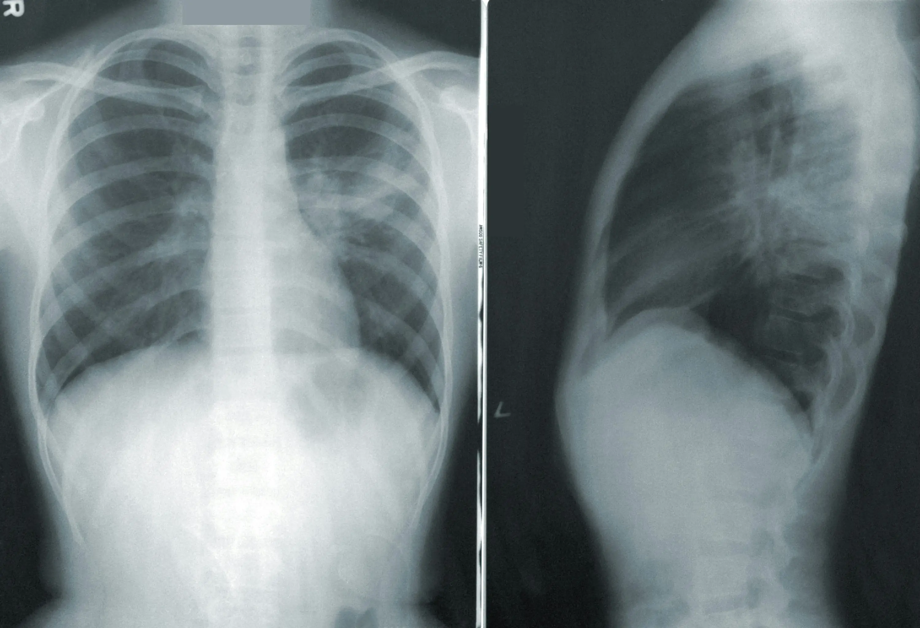
https://n.news.naver.com/mnews/article/346/0000081709?sid=004
마이코플라즈마 폐렴균 주의, 올해 입원 환자 2만 명 넘어
올해 마이코플라즈마 폐렴균이 크게 유행하고 있는 것으로 나타나 주의가 필요하다. 비말을 통해 마이코플라즈마 폐렴균에 감염되면 2~3주의 잠복기를 거쳐 ▲고열 ▲흉통 ▲기침 ▲거친 숨소
n.news.naver.com
'주식' 카테고리의 다른 글
| 태양광 관련주 수혜주 대표주식 Best 3ㅣ페로브스카이트 태양전지 효율 국내 신기록 (7) | 2024.10.22 |
|---|---|
| K-웹툰 관련주 수혜주 대표주식 Best 3ㅣ아마존 재팬 K웹툰 공급 (21) | 2024.10.21 |
| 금융주 금융 관련주 대표주식 Best 3ㅣ금융주의 시간이 온다 (24) | 2024.10.19 |
| 비트코인 관련주 트럼프 수혜주 Best 3ㅣ미 대선 트럼프 해리스 역전 (15) | 2024.10.18 |
| 소형원전 SMR 관련주 수혜주 대표주식 Best 3ㅣ구글 아마존 SMR 계약 (15) | 2024.10.17 |